06/06/2022 05:32
Gần đây TP.HCM và Hà Nội liên tục ghi nhận các trường hợp sốt rét nhập cảnh từ châu Phi, vậy căn bệnh này có nguy cơ lan rộng?
Theo PGS Đỗ Duy Cường – Giám đốc Trung tâm Bệnh Nhiệt đới – BV Bạch Mai, gần đây Trung tâm ghi nhận hai trường hợp bệnh nhân mắc sốt rét. Nhiều năm nay Hà Nội và các tỉnh phía Bắc hầu như không còn bệnh nhân sốt rét. Vì vậy việc phát hiện, chẩn đoán, điều trị kịp thời các ca bệnh sốt rét từ nước ngoài trở về ở nhiều cơ sở y tế tuyến dưới còn khó khăn và dễ bị bỏ sót.
Bác sĩ Đỗ Duy Cường cho biết sau khi khai thác yếu tố dịch tễ, cả hai bệnh nhân đều có đi Angola (châu Phi) về. Khi kết hợp xét nghiệm máu, các bác sĩ phát hiện ra ký sinh trùng sốt rét Plasmodium falciparum trong máu. Những bệnh nhân sốt rét do đi từ châu Phi về nên được gọi là sốt rét “nhập khẩu”.
“Cả hai bệnh nhân đang điều trị tại trung tâm bị sốt ngay sau khi về Việt Nam, nhưng y tế ở địa phương không phát hiện ra, không để ý yếu tố dịch tễ là đi từ châu Phi về nên dễ bỏ sót. Do các triệu chứng sốt rét không điển hình rầm rộ, dễ gây nhầm với các bệnh khác như cảm cúm, COVID-19, sốt xuất huyết hay nhiễm trùng tiết niệu…”, PGS-TS Cường cho biết.

PGS Đỗ Duy Cường thăm khám cho bệnh nhân sốt rét.
Bệnh viện Bệnh Nhiệt đới TP.HCM cũng đang điều trị hai bệnh nhân nhập cảnh từ châu Phi (một nữ, 24 tuổi, du học sinh, sống tại quận Bình Thạnh, trở về từ Cameroon và một nam, 63 tuổi, quốc tịch Trung Quốc, nhập cảnh từ Bờ Biển Ngà) bị sốt rét ác tính.
TS Hồ Đặng Trung Nghĩa – trưởng khoa nhiễm Việt – Anh, Bệnh viện Bệnh nhiệt đới – cho biết kết quả xét nghiệm cho thấy mật độ ký sinh trùng sốt rét ở hai bệnh nhân đều rất cao. Các bệnh nhân được điều trị tích cực với thuốc đặc trị sốt rét và phối hợp nhiều phương tiện điều trị hỗ trợ.
Thông tin từ Trung tâm Kiểm soát bệnh tật TP.HCM, đến hết năm 2021 cả nước có 36 tỉnh thành được công nhận loại trừ bệnh sốt rét. Theo kế hoạch, Việt Nam đang phấn đấu để đạt loại trừ sốt rét vào năm 2030.
Riêng tại TP.HCM, từ năm 2011 đến nay không phát hiện ca bệnh sốt rét nội tại, đã được công nhận loại trừ sốt rét từ năm 2020. TP đang trong giai đoạn phòng ngừa sốt rét quay trở lại sau loại trừ.
Bệnh sốt rét có nguy cơ lây lan rộng?
Bác sĩ Trần Thanh Long, Trưởng khối điều trị phòng khám bệnh chuyên khoa ký sinh trùng Viện Sốt rét – ký sinh trùng – côn trùng TP.HCM, cho biết “thủ phạm” gây bệnh sốt rét là muỗi Anopheles.
Điều kiện để lây truyền bệnh này là phải có muỗi Anopheles, trong khi hiện TP.HCM đã loại trừ bệnh này nên nguy cơ bệnh sốt rét “hiện diện” tại TP.HCM là không có.
Bác sĩ Long cho biết thêm, từ lâu nước ta từng ghi nhận nhiều ca sốt rét, còn hiện nay rất ít. Tuy nhiên, nếu những ai đi vào rừng sâu đang lưu hành bệnh sốt rét thì vẫn có khả năng bị sốt rét khi có muỗi Anopheles đốt như một số địa phương như Bù Gia Mập, Đắk Ơ, Đắk Nhau tỉnh Bình Phước
“Người dân không có gì quá lo lắng. Hai ca sốt rét vừa phát hiện ở TP.HCM đều nhập cảnh từ châu Phi, trong khi đó chỉ bị sốt rét khi tồn tại vật trung gian truyền bệnh (muỗi Anopheles).
Nếu nghi ngờ và không biết bản thân bị muỗi thông thường hay Anopheles đốt, cần xem lại mình có đi qua vùng bệnh lưu hành không và nhanh đến cơ sở y tế thăm khám để có hướng điều trị thích hợp”, bác sĩ Long nói.

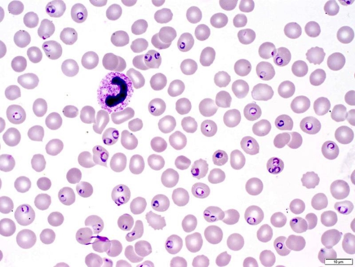
Ký sinh trùng sốt rét Plasmodium.
Trung tâm Kiểm soát bệnh tật TP.HCM cũng cho biết do TP.HCM là nơi có biến động dân cư rất lớn, cũng là nơi tập trung nhiều bệnh viện tuyến cuối nên hằng năm vẫn ghi nhận một số trường hợp sốt rét đến từ vùng đang có dịch sốt rét lưu hành trong và ngoài nước.
Kết quả giám sát trung gian truyền bệnh sốt rét tại TP.HCM hiện nay không phát hiện muỗi truyền bệnh. Vì vậy nguy cơ lây lan bệnh sốt rét tại TP là rất thấp.
Trên cả nước đã tổ chức các đợt giám sát vectơ (vật trung gian truyền bệnh – PV) sốt rét tại 14 tỉnh thành và giám sát vectơ sốt xuất huyết tại 5 tỉnh thành để kiểm soát, khống chế và phòng ngừa bệnh do các loài côn trùng gây ra.
Theo PGS-TS Đỗ Duy Cường, ký sinh trùng sốt rét Plasmodium falciparum là loại gây bệnh chủ yếu, chiếm khoảng 70 – 80% số ca mắc sốt rét tại Việt Nam. Ký sinh trùng sốt rét này hầu như chỉ sinh trưởng tốt tại vùng khí hậu nóng ẩm.
Theo đó, quá trình truyền bệnh bắt đầu khi muỗi cái Anopheles hút phải máu có chứa bào tử từ một người bị sốt rét. Các giao tử bên trong muỗi bắt đầu sinh sản và tạo ra các thoa trùng sau khoảng 1 – 2 tuần.
Thời gian ủ bệnh kể từ khi bị muỗi nhiễm ký sinh trùng sốt rét đốt đến khi có các biểu hiện lâm sàng tùy thuộc loại ký sinh trùng, thông thường từ 9 – 20 ngày. Nhiễm sốt rét do truyền máu thì thời gian ủ bệnh phụ thuộc vào số lượng ký sinh trùng trong máu truyền vào nhưng nói chung thời gian ủ bệnh ngắn vài ba ngày.
“Chúng tôi đã gặp nhiều trường hợp sốt rét trở thành ác tính với triệu chứng sốt cao liên tục, có thể đi vào hôn mê sau 3 – 5 ngày, nguy hiểm đến tính mạng. Kèm theo hôn mê là suy đa phủ tạng (gan, thận, phổi…) hoặc thiếu máu, co giật, hạ đường huyết.
Tuy nhiên nếu được điều trị kịp thời, đúng thuốc và thuốc tốt thì các chức năng sẽ dần hồi phục. Các thuốc sốt rét hiện nay có sẵn (Artesunate, Arterakin) được Bộ Y tế cung cấp theo chương trình”, PGS-TS Đỗ Duy Cường thông tin.
Biến chứng nguy hiểm của sốt rét
Theo thông tin từ Cục Y tế dự phòng (Bộ Y tế), sốt rét biến chứng hay sốt rét ác tính có biểu hiện ác tính nổi bật là xuất hiện rối loạn ý thức (li bì hoặc vật vã, cuồng sảng, nói lảm nhảm), sốt cao liên tục, mất ngủ nhiều, nhức đầu dữ dội, nôn hoặc tiêu chảy nhiều, thể trạng nặng.
Sốt rét còn gây tắc nghẽn mao mạch bởi hồng cầu nhiễm ký sinh trùng dính kết vào nội mạc. Thiếu máu cục bộ có thể xảy ra với tình trạng thiếu oxy máu mô, não, thận, phổi và đường tiêu hóa. Hạ đường huyết và toan lactic là các biến chứng tiềm ẩn khác.
Đối với phụ nữ có thai mắc sốt rét dễ bị biến chứng hoặc sẩy thai, thai chết lưu hoặc đẻ non. Với trẻ trên 6 tháng tuổi dễ mắc sốt rét do hết miễn dịch của mẹ và huyết sắc tố F. Trẻ mắc sốt rét thường sốt cao liên tục hoặc dao động, nôn, tiêu chảy, bụng trướng, gan lách to, có dấu hiệu màng não và co giật, tỉ lệ tử vong cao
Lễ tuyên phong Chân phước cho linh mục Phanxicô Xaviê Trương Bửu Diệp diễn ra ở Trung tâm Hành hương Tắc Sậy (Bạc Liêu cũ) ngày 2/7 sau khi Giáo...
Pakistan đã điều động máy bay chiến đấu tới Saudi Arabia như một phần của hiệp định phòng thủ song phương. Trong bối cảnh các cuộc tấn công bằng...
Sáng 12/4, tại Hà Nội, Thủ tướng Chính phủ Lê Minh Hưng dự lễ kỷ niệm 80 năm Ngày truyền thống (18/4/1946-18/4/2026) và trao Huân chương Hồ Chí Minh tặng...
Vượt xa kỳ vọng của giới đầu tư, NVIDIA công bố chiến lược “hệ thống hoàn chỉnh” nhằm thâu tóm thị trường AI thời gian thực trị giá 1.000 tỷ...
Ngày 11/4 theo giờ địa phương, tại Vatican, Chủ tịch Quốc hội Trần Thanh Mẫn đã có cuộc hội kiến Giáo hoàng Leo XIV. Tại cuộc hội kiến, Chủ tịch...
Chủ tịch Quốc hội Trần Thanh Mẫn trao thư của Tổng Bí thư, Chủ tịch nước Tô Lâm mời Giáo hoàng Leo XIV thăm chính thức Việt Nam. Chủ tịch...
Theo văn thông tư của Cục thuế, việc kê khai không còn là “kỹ năng”, mà là “trách nhiệm có thể kiểm chứng”. Thông tư 18/2026/TT-BTC “quy định chi tiết...
Riêng Rạng Đông có vốn điều lệ 4.500 tỷ đồng, là tập đoàn đa ngành. Viện KSND Tối cao vừa ban hành cáo trạng truy tố 28 bị can liên...
Theo Viện Kiểm sát, từ năm 2021 – 2024, bị can Phan Thành Muôn (Chủ tịch Công ty CP Tập đoàn Khoáng sản Đầu tư Hưng Thịnh) và nhóm đồng phạm...
Ông Nguyễn Văn Đông, từng được biết đến như là “chaebol” của tỉnh Bình Thuận, người đứng đầu Tập đoàn Rạng Đông – một trong những doanh nghiệp đa ngành...
Chủ trì Hội nghị vừa diễn ra, Thủ tướng Chính phủ Phạm Minh Chính khẳng định doanh nghiệp là trung tâm, là chủ thể trong thực hiện mục tiêu tăng...
CEO HanaGold Ngô Thị Thảo từng được biết đến khi tham gia Shark Tank Việt Nam năm 2022. Ngày 26/3, Cục An ninh Kinh tế (A04) phối hợp với các đơn vị...
Cơ quan Thường trực Ban Chỉ đạo Trung ương về phát triển khoa học, công nghệ, đổi mới sáng tạo và chuyển đổi số vừa ban hành Thông báo số...
Quyết định số 456/QĐ-TTg ngày 20/3/2026 đã chỉ rõ việc mở rộng hệ thống camera giám sát bảo đảm trật tự, an toàn giao thông, an ninh trật tự trên...
Từng được tung hô như tương lai của ngành nông nghiệp toàn cầu, các công ty giờ đây chứng kiến 1 thực tế khắc nghiệt. Từng được tung hô...
06/06/2022 05:32
Gần đây TP.HCM và Hà Nội liên tục ghi nhận các trường hợp sốt rét nhập cảnh từ châu Phi, vậy căn bệnh này có nguy cơ lan rộng?
Theo PGS Đỗ Duy Cường – Giám đốc Trung tâm Bệnh Nhiệt đới – BV Bạch Mai, gần đây Trung tâm ghi nhận hai trường hợp bệnh nhân mắc sốt rét. Nhiều năm nay Hà Nội và các tỉnh phía Bắc hầu như không còn bệnh nhân sốt rét. Vì vậy việc phát hiện, chẩn đoán, điều trị kịp thời các ca bệnh sốt rét từ nước ngoài trở về ở nhiều cơ sở y tế tuyến dưới còn khó khăn và dễ bị bỏ sót.
Bác sĩ Đỗ Duy Cường cho biết sau khi khai thác yếu tố dịch tễ, cả hai bệnh nhân đều có đi Angola (châu Phi) về. Khi kết hợp xét nghiệm máu, các bác sĩ phát hiện ra ký sinh trùng sốt rét Plasmodium falciparum trong máu. Những bệnh nhân sốt rét do đi từ châu Phi về nên được gọi là sốt rét “nhập khẩu”.
“Cả hai bệnh nhân đang điều trị tại trung tâm bị sốt ngay sau khi về Việt Nam, nhưng y tế ở địa phương không phát hiện ra, không để ý yếu tố dịch tễ là đi từ châu Phi về nên dễ bỏ sót. Do các triệu chứng sốt rét không điển hình rầm rộ, dễ gây nhầm với các bệnh khác như cảm cúm, COVID-19, sốt xuất huyết hay nhiễm trùng tiết niệu…”, PGS-TS Cường cho biết.

PGS Đỗ Duy Cường thăm khám cho bệnh nhân sốt rét.
Bệnh viện Bệnh Nhiệt đới TP.HCM cũng đang điều trị hai bệnh nhân nhập cảnh từ châu Phi (một nữ, 24 tuổi, du học sinh, sống tại quận Bình Thạnh, trở về từ Cameroon và một nam, 63 tuổi, quốc tịch Trung Quốc, nhập cảnh từ Bờ Biển Ngà) bị sốt rét ác tính.
TS Hồ Đặng Trung Nghĩa – trưởng khoa nhiễm Việt – Anh, Bệnh viện Bệnh nhiệt đới – cho biết kết quả xét nghiệm cho thấy mật độ ký sinh trùng sốt rét ở hai bệnh nhân đều rất cao. Các bệnh nhân được điều trị tích cực với thuốc đặc trị sốt rét và phối hợp nhiều phương tiện điều trị hỗ trợ.
Thông tin từ Trung tâm Kiểm soát bệnh tật TP.HCM, đến hết năm 2021 cả nước có 36 tỉnh thành được công nhận loại trừ bệnh sốt rét. Theo kế hoạch, Việt Nam đang phấn đấu để đạt loại trừ sốt rét vào năm 2030.
Riêng tại TP.HCM, từ năm 2011 đến nay không phát hiện ca bệnh sốt rét nội tại, đã được công nhận loại trừ sốt rét từ năm 2020. TP đang trong giai đoạn phòng ngừa sốt rét quay trở lại sau loại trừ.
Bệnh sốt rét có nguy cơ lây lan rộng?
Bác sĩ Trần Thanh Long, Trưởng khối điều trị phòng khám bệnh chuyên khoa ký sinh trùng Viện Sốt rét – ký sinh trùng – côn trùng TP.HCM, cho biết “thủ phạm” gây bệnh sốt rét là muỗi Anopheles.
Điều kiện để lây truyền bệnh này là phải có muỗi Anopheles, trong khi hiện TP.HCM đã loại trừ bệnh này nên nguy cơ bệnh sốt rét “hiện diện” tại TP.HCM là không có.
Bác sĩ Long cho biết thêm, từ lâu nước ta từng ghi nhận nhiều ca sốt rét, còn hiện nay rất ít. Tuy nhiên, nếu những ai đi vào rừng sâu đang lưu hành bệnh sốt rét thì vẫn có khả năng bị sốt rét khi có muỗi Anopheles đốt như một số địa phương như Bù Gia Mập, Đắk Ơ, Đắk Nhau tỉnh Bình Phước
“Người dân không có gì quá lo lắng. Hai ca sốt rét vừa phát hiện ở TP.HCM đều nhập cảnh từ châu Phi, trong khi đó chỉ bị sốt rét khi tồn tại vật trung gian truyền bệnh (muỗi Anopheles).
Nếu nghi ngờ và không biết bản thân bị muỗi thông thường hay Anopheles đốt, cần xem lại mình có đi qua vùng bệnh lưu hành không và nhanh đến cơ sở y tế thăm khám để có hướng điều trị thích hợp”, bác sĩ Long nói.

Ký sinh trùng sốt rét Plasmodium.
Trung tâm Kiểm soát bệnh tật TP.HCM cũng cho biết do TP.HCM là nơi có biến động dân cư rất lớn, cũng là nơi tập trung nhiều bệnh viện tuyến cuối nên hằng năm vẫn ghi nhận một số trường hợp sốt rét đến từ vùng đang có dịch sốt rét lưu hành trong và ngoài nước.
Kết quả giám sát trung gian truyền bệnh sốt rét tại TP.HCM hiện nay không phát hiện muỗi truyền bệnh. Vì vậy nguy cơ lây lan bệnh sốt rét tại TP là rất thấp.
Trên cả nước đã tổ chức các đợt giám sát vectơ (vật trung gian truyền bệnh – PV) sốt rét tại 14 tỉnh thành và giám sát vectơ sốt xuất huyết tại 5 tỉnh thành để kiểm soát, khống chế và phòng ngừa bệnh do các loài côn trùng gây ra.
Theo PGS-TS Đỗ Duy Cường, ký sinh trùng sốt rét Plasmodium falciparum là loại gây bệnh chủ yếu, chiếm khoảng 70 – 80% số ca mắc sốt rét tại Việt Nam. Ký sinh trùng sốt rét này hầu như chỉ sinh trưởng tốt tại vùng khí hậu nóng ẩm.
Theo đó, quá trình truyền bệnh bắt đầu khi muỗi cái Anopheles hút phải máu có chứa bào tử từ một người bị sốt rét. Các giao tử bên trong muỗi bắt đầu sinh sản và tạo ra các thoa trùng sau khoảng 1 – 2 tuần.
Thời gian ủ bệnh kể từ khi bị muỗi nhiễm ký sinh trùng sốt rét đốt đến khi có các biểu hiện lâm sàng tùy thuộc loại ký sinh trùng, thông thường từ 9 – 20 ngày. Nhiễm sốt rét do truyền máu thì thời gian ủ bệnh phụ thuộc vào số lượng ký sinh trùng trong máu truyền vào nhưng nói chung thời gian ủ bệnh ngắn vài ba ngày.
“Chúng tôi đã gặp nhiều trường hợp sốt rét trở thành ác tính với triệu chứng sốt cao liên tục, có thể đi vào hôn mê sau 3 – 5 ngày, nguy hiểm đến tính mạng. Kèm theo hôn mê là suy đa phủ tạng (gan, thận, phổi…) hoặc thiếu máu, co giật, hạ đường huyết.
Tuy nhiên nếu được điều trị kịp thời, đúng thuốc và thuốc tốt thì các chức năng sẽ dần hồi phục. Các thuốc sốt rét hiện nay có sẵn (Artesunate, Arterakin) được Bộ Y tế cung cấp theo chương trình”, PGS-TS Đỗ Duy Cường thông tin.
Biến chứng nguy hiểm của sốt rét
Theo thông tin từ Cục Y tế dự phòng (Bộ Y tế), sốt rét biến chứng hay sốt rét ác tính có biểu hiện ác tính nổi bật là xuất hiện rối loạn ý thức (li bì hoặc vật vã, cuồng sảng, nói lảm nhảm), sốt cao liên tục, mất ngủ nhiều, nhức đầu dữ dội, nôn hoặc tiêu chảy nhiều, thể trạng nặng.
Sốt rét còn gây tắc nghẽn mao mạch bởi hồng cầu nhiễm ký sinh trùng dính kết vào nội mạc. Thiếu máu cục bộ có thể xảy ra với tình trạng thiếu oxy máu mô, não, thận, phổi và đường tiêu hóa. Hạ đường huyết và toan lactic là các biến chứng tiềm ẩn khác.
Đối với phụ nữ có thai mắc sốt rét dễ bị biến chứng hoặc sẩy thai, thai chết lưu hoặc đẻ non. Với trẻ trên 6 tháng tuổi dễ mắc sốt rét do hết miễn dịch của mẹ và huyết sắc tố F. Trẻ mắc sốt rét thường sốt cao liên tục hoặc dao động, nôn, tiêu chảy, bụng trướng, gan lách to, có dấu hiệu màng não và co giật, tỉ lệ tử vong cao